Internal fixation with bone plate
Ankle fusion with plates and screws is a relatively common surgical procedure at present. Locking plate internal fixation has been widely used in ankle fusion. At present, plate ankle fusion mainly includes anterior plate and lateral plate ankle fusion.
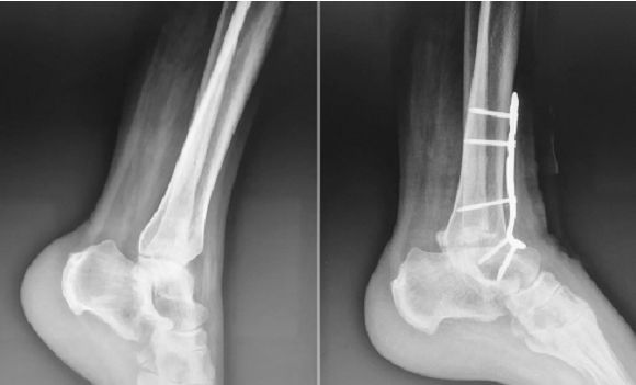
The picture above shows the X-ray films before and after surgery for traumatic ankle osteoarthritis with anterior locking plate internal fixation ankle joint fusion
1. Anterior approach
The anterior approach is to make an anterior longitudinal incision centered on the ankle joint space, cut layer by layer, and enter along the tendon space; cut the joint capsule, expose the tibiotalar joint, remove the cartilage and subchondral bone, and place the anterior plate on the Anterior of the ankle.
2. Lateral approach
The lateral approach is to cut the osteotomy about 10 cm above the tip of the fibula and remove the stump completely. The cancellous bone stump is taken out for bone grafting. The fusion surface osteotomy is completed and washed, and the plate is placed on the outside of the ankle joint.
The advantage is that the fixation strength is high and the fixation is firm. It can be used for the repair and reconstruction of severe varus or valgus deformity of the ankle joint and many bone defects after cleaning. The anatomically designed fusion plate helps restore the normal anatomy of the ankle joint. Location.
The disadvantage is that more periosteum and soft tissue in the surgical area need to be stripped, and the steel plate is thicker, which is easy to irritate the surrounding tendons. The steel plate placed in front is easy to touch under the skin, and there is a certain risk.
intramedullary nail fixation
In recent years, the application of retrograde intramedullary nail-type ankle arthrodesis in the treatment of end-stage ankle arthritis has gradually been applied clinically.
At present, the intramedullary nailing technique mostly uses an anterior median incision of the ankle joint or an anteroinferior lateral incision of the fibula for articular surface cleaning or bone grafting. The intramedullary nail is inserted from the calcaneus to the tibial medullary cavity, which is beneficial to deformity correction and promotes bone fusion.

Ankle osteoarthritis combined with subtalar arthritis. Preoperative anteroposterior and lateral X-ray films showed severe damage to the tibiotalar joint and subtalar joint, partial collapse of the talus, and osteophyte formation around the joint (from reference 2)
The divergent fusion screw implantation angle of locking hindfoot fusion intramedullary nail is multi-plane fixation, which can fix the specific joint to be fused, and the distal end is a threaded lock hole, which can effectively resist cutting, rotation, and pull-out, reducing the risk of screw withdrawal .
The tibiotalar joint and subtalar joint were exposed and processed through the lateral transfibular approach, and the length of the incision at the entrance of the plantar intramedullary nail was 3 cm
The intramedullary nail is used as a central fixation, and its stress is relatively dispersed, which can avoid the stress shielding effect and is more in line with the principles of biomechanics.
Anteroposterior and lateral X-ray film 1 month after operation showed that the rear foot line was good and the intramedullary nail was fixed reliably
Applying retrograde intramedullary nails to ankle joint fusion can reduce soft tissue damage, reduce incision skin necrosis, infection and other complications, and can provide sufficient stable fixation without auxiliary plaster external fixation after surgery.
One year after operation, the positive and lateral weight-bearing X-ray films showed bony fusion of the tibiotalar joint and subtalar joint, and the rear foot alignment was good.
The patient can get out of bed and bear weight early, which improves the patient’s tolerance and quality of life. However, because the subtalar joint needs to be fixed at the same time, it is not recommended for patients with a good subtalar joint. The preservation of the subtalar joint is an important structure for compensating the function of the ankle joint in patients with ankle joint fusion.
screw internal fixation
Percutaneous screw internal fixation is a common fixation method in ankle arthrodesis. It has the advantages of minimally invasive surgery such as small incision and less blood loss, and can effectively reduce the damage to soft tissues.
Anteroposterior and lateral X-ray films of the standing ankle joint before operation showed severe osteoarthritis of the right ankle with varus deformity, and the angle between the tibiotalar articular surface was measured to be 19° varus
Studies have shown that simple fixation with 2 to 4 lag screws can achieve stable fixation and compression, and the operation is relatively simple and the cost is relatively cheap. It is the first choice of most scholars at present. In addition, minimally invasive ankle joint cleaning can be performed under arthroscopy, and screws can be inserted percutaneously. The surgical trauma is small and the curative effect is satisfactory.
Under arthroscopy, a large area of articular cartilage defect is seen; under arthroscopy, the pointed cone microfracture device is used to treat the articular surface
Some authors believe that 3 screw fixation can reduce the incidence of postoperative non-fusion risk, and the increase in fusion rate may be related to the stronger stability of 3 screw fixation.
A follow-up X-ray film 15 weeks after the operation showed bony fusion. The AOFAS score was 47 points before operation and 74 points 1 year after operation.
If three screws are used for fixation, the approximate fixation position is that the first two screws are respectively inserted from the anteromedial and anterolateral sides of the tibia, crossing through the articular surface to the talar body, and the third screw is inserted from the posterior side of the tibia to the medial side of the talus.
External fixation method
External fixators were the earliest devices used in ankle arthrodesis and have evolved from the 1950s to the present Ilizarov, Hoffman, Hybrid and Taylor space frame (TSF).
Ankle open injury with infection for 3 years, ankle arthrodesis 6 months after infection control
For some complicated ankle arthritis cases with repeated infections, repeated operations, poor local skin and soft tissue conditions, scar formation, bone defects, osteoporosis and local infection lesions, the Ilizarov ring external fixator is used more clinically to fuse the ankle joint .
The ring-shaped external fixator is fixed on the coronal plane and sagittal plane, and can provide a more stable fixation effect. In the early load-bearing process, it will pressurize the fracture end, promote the formation of callus, and improve the fusion rate. For patients with severe deformity, the external fixator can gradually correct the deformity. Of course, external fixator ankle fusion will have problems such as inconvenience for patients to wear and the risk of needle tract infection.
Contact:
Whatsapp:+86 15682071283
Email:liuyaoyao@medtechcah.com
Post time: Jul-08-2023












